$ 538.13  624.88  6.64

Петропавл тұрғыны мойнына шеге қадап алған

Оқиға жөндеу жұмыстары кезінде болған. 

Фото: Көп бейінді қалалық жедел медициналық жәрдем ауруханасы
Фото: Көп бейінді қалалық жедел медициналық жәрдем ауруханасы

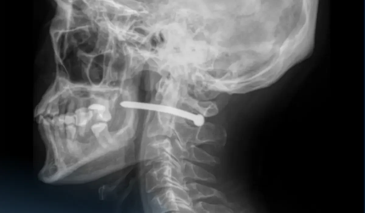
Петропавлда дәрігерлер жөндеу жұмыстары кезінде мойнына шеге қадалып қалған ер адамды ажалдан арашалап, деп хабарлайды  Skifnews.kz ақпарат порталы.

Көп бейінді қалалық жедел медициналық жәрдем ауруханасына 51 жасар ер адам құлақ маңындағы жарамен көмекке жүгінген. Ол жөндеу жұмыстары кезінде шегеге арналған пневматикалық құралдың шегесінен жарақат алған.

«Рентген-зерттеуден кейін шегенің омыртқаның мойын бөлігінен өткені анықталды. Ер адамның көрер жарығы бар екен – өміріне маңызды органдары зақым алған жоқ», - деп жазды аурухананың баспасөз қызметі.

Жақсүйек-бет хирургтары жарадан шегені алып, қарап, жараны өңдеді. Жара тігіліп, стерильді таңғыш салынғаннан кейін науқасқа ұсыныстар беріліп, үйіне жіберілді.

«Мойын тұзына жарақат алу өте қауіпті – мойынның маңайынан үлкен тамырлар, нервтер, тыныс алу жолдары және жұлын өтеді. Тіпті кішкене ғана зақым алудың салдары ауыр болуы мүмкін», - деп ескертті дәрігерлер.

 

Сіздің реакцияңыз?
Ұнайды 0
Ұнамайды 1
Күлкілі 0
Ашулы 0

Серіктес жаңалықтары